

Teeth Filling
Teeth filling is a dental procedure used to repair a tooth that has been damaged by cavities, decay, cracks, or minor fractures. During this procedure, the dentist removes the decayed portion of the tooth and fills the empty space with a special material that restores the tooth’s shape, strength, and function.
A cavity forms when bacteria in the mouth produce acids that attack the tooth enamel. If the cavity is not treated early, the decay can spread deeper into the tooth and lead to severe pain, infection, or even tooth loss. Dental fillings stop the decay process and protect the remaining tooth structure.
Teeth Filling: A Complete Guide to Dental Fillings
Dental health plays a crucial role in maintaining overall well-being. One of the most common dental procedures used to treat tooth decay and restore damaged teeth is teeth filling (also called dental filling). Millions of people undergo this treatment every year to preserve their natural teeth and prevent further oral problems.
In cities with advanced healthcare services like Hyderabad, many people search online for teeth filling in Hyderabad or compare the teeth filling cost in Hyderabad to find reliable treatment options. Choosing the top dental clinic in Hyderabad ensures quality care, advanced technology, and experienced dentists. Clinics like Dr Care Dental Hospital provide low cost dental treatments in Hyderabad, making essential dental care accessible to many patients.
This article explains in detail what teeth filling is, when it is required, how the procedure is performed, types of fillings, benefits, costs, and aftercare tips.
What is Teeth Filling?
Teeth filling is a dental procedure used to repair a tooth that has been damaged by cavities, decay, cracks, or minor fractures. During this procedure, the dentist removes the decayed portion of the tooth and fills the empty space with a special material that restores the tooth’s shape, strength, and function.
A cavity forms when bacteria in the mouth produce acids that attack the tooth enamel. If the cavity is not treated early, the decay can spread deeper into the tooth and lead to severe pain, infection, or even tooth loss. Dental fillings stop the decay process and protect the remaining tooth structure.
The main goals of teeth filling are:
-
Removing decayed tooth structure
-
Restoring the tooth’s natural shape
-
Preventing further bacterial damage
-
Improving chewing ability
-
Maintaining overall oral health
With modern dental technology, fillings are now more durable, comfortable, and aesthetically pleasing than ever before.
Why Teeth Fillings Are Important
Dental fillings are one of the most effective and simplest treatments for tooth decay. If cavities are ignored, they may lead to serious dental problems such as infections, abscesses, and the need for root canal treatment or tooth extraction.
Here are the key reasons why teeth fillings are important:
1. Stops Tooth Decay
The primary purpose of a filling is to remove the infected portion of the tooth and seal it with a safe material, preventing bacteria from spreading further.
2. Restores Tooth Structure
After decay is removed, the tooth may have a hollow space. The filling restores the tooth’s shape and strength.
3. Prevents Tooth Loss
Early treatment with fillings can save the natural tooth and avoid complicated procedures.
4. Improves Oral Function
Fillings allow patients to chew normally and comfortably without pain.
5. Enhances Appearance
Modern tooth-colored fillings blend with natural teeth, improving smile aesthetics.
For people searching for teeth filling in Hyderabad, visiting a reputable clinic like
Dr Care Dental Hospital, known as an affordable dental clinic in Hyderabad,
can ensure safe and effective treatment.
Signs That You May Need a Teeth Filling
Many people are unaware that they have cavities until symptoms appear. Dentists usually detect cavities during routine check-ups or dental X-rays.
Common signs that indicate you may need a filling include:
Tooth Sensitivity
If your teeth feel sensitive to hot, cold, or sweet foods, it could indicate tooth decay.
Visible Holes or Dark Spots
Cavities may appear as small pits, holes, or dark spots on the tooth surface.
Tooth Pain
Persistent or occasional toothache is a common sign of decay.
Food Getting Stuck
If food frequently gets trapped between certain teeth, it could be due to a cavity.
Broken or Chipped Tooth
Minor damage to the tooth structure may also require a filling.
When these symptoms appear, it is best to consult a dentist immediately to prevent further complications.
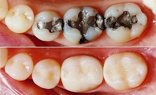
Types of Teeth Filling Materials
Dental fillings can be made from several materials, each with different advantages and durability.
1. Composite Resin Fillings
Composite fillings are tooth-colored materials that match the natural shade of teeth.
Advantages:
-
Natural appearance
-
Strong bonding with tooth structure
-
Ideal for visible teeth
Disadvantages:
-
Slightly less durable than metal fillings
2. Amalgam Fillings
Amalgam fillings are made from a mixture of metals including silver, tin, copper, and mercury. (Wikipedia)
Advantages:
-
Very strong and durable
-
Suitable for back teeth
-
Long-lasting
Disadvantages:
-
Metallic appearance
3. Ceramic Fillings
Ceramic or porcelain fillings are highly durable and resistant to staining.
Advantages:
-
Natural look
-
Long-lasting
-
Resistant to discoloration
4. Gold Fillings
Gold fillings are strong and can last more than 15 years.
Advantages:
-
Extremely durable
-
Strong resistance to wear
Disadvantages:
-
Expensive
-
Noticeable color
The dentist chooses the appropriate filling material based on the cavity size, tooth location, and patient preference.
How Teeth Filling is Done (Step-by-Step Procedure)
The teeth filling procedure is simple and usually completed in a single dental visit. Most fillings take about 20–60 minutes per tooth depending on the size of the cavity.
Here is the step-by-step process.
1. Dental Examination
The dentist first examines the affected tooth and may take an X-ray to determine the extent of decay.
2. Local Anesthesia
A local anesthetic is injected around the tooth to numb the area and prevent pain during the procedure.
3. Removal of Tooth Decay
The dentist uses a dental drill or laser to remove the decayed portion of the tooth.
4. Cleaning the Cavity
After removing the decay, the cavity is cleaned to remove bacteria and debris.
5. Preparing the Tooth
If composite filling is used, the dentist applies a bonding agent to help the material adhere to the tooth.
6. Filling the Tooth
The chosen filling material is placed into the cavity and shaped to match the natural structure of the tooth.
7. Hardening the Filling
For composite fillings, a special curing light is used to harden the material.
8. Polishing and Bite Adjustment
Finally, the dentist polishes the filling and checks the patient’s bite to ensure comfort.
After the procedure, the tooth regains its function and protection against further decay.
Benefits of Teeth Filling
Teeth fillings offer several benefits for oral health and overall comfort.
Protects Natural Teeth
Fillings help preserve natural teeth instead of removing them.
Quick and Simple Treatment
Most fillings are completed within one appointment.
Prevents Serious Dental Problems
Early treatment stops cavities from progressing into severe infections.
Improves Smile Appearance
Tooth-colored fillings make the repair almost invisible.
Long-lasting Results
With proper care, fillings can last 5–10 years or even longer.
Many patients searching for the
top dental clinic in Hyderabad
prefer clinics that offer advanced filling techniques and painless treatments.
Teeth Filling Cost in Hyderabad
The teeth filling cost in Hyderabad depends on several factors such as:
-
Type of filling material used
-
Size and location of the cavity
-
Dentist’s experience
-
Technology used in the clinic
On average in India, the cost of dental fillings can range between ₹1,500 to ₹4,000 per tooth for composite fillings.
Metal fillings may be slightly cheaper, while ceramic or gold fillings can be more expensive.
However, many clinics provide low cost dental treatments in Hyderabad so that patients can receive quality dental care without financial burden.
For patients looking for affordable dental clinic in Hyderabad,
Dr Care Dental Hospital offers professional dental services with experienced dentists and modern technology.
Aftercare Tips Following Teeth Filling
Proper care after a filling ensures that it lasts longer and prevents further dental issues.
Here are some important aftercare tips:
Avoid Hard Foods
Avoid chewing hard or sticky foods for the first 24 hours.
Maintain Oral Hygiene
Brush your teeth twice daily and floss regularly.
Limit Sugary Foods
Reduce sugary snacks and drinks to prevent new cavities.
Attend Regular Checkups
Visit the dentist every 6 months for routine dental examinations.
Watch for Sensitivity
Mild sensitivity is normal after a filling, but persistent pain should be reported to the dentist.
Good oral hygiene can significantly extend the lifespan of a dental filling.
How Long Do Teeth Fillings Last?
The lifespan of a dental filling depends on several factors:
-
Type of material used
-
Oral hygiene habits
-
Chewing pressure
-
Regular dental checkups
Proper dental care can help fillings last longer and keep your teeth healthy.
Choosing the Right Dental Clinic
Selecting the right dental clinic is important for safe and effective treatment.
When choosing a clinic, consider:
-
Dentist’s experience and qualifications
-
Hygiene and sterilization standards
-
Modern dental technology
-
Transparent pricing
-
Positive patient reviews
If you are searching online for teeth filling in Hyderabad, it is recommended to visit a reputed clinic like
Dr Care Dental Hospital, which is considered a top dental clinic in Hyderabad
offering affordable dental services and low cost dental treatments in Hyderabad.
Frequently Asked Questions (FAQs)
1. What is teeth filling?
Teeth filling is a dental procedure used to repair teeth that are damaged due to cavities, decay, or minor fractures. During the procedure, the dentist removes the decayed part of the tooth and fills the space with a special material such as composite resin, amalgam, or ceramic to restore the tooth’s shape and function.
2. When is teeth filling required?
Teeth filling is required when a dentist detects cavities, small cracks, or worn-out tooth surfaces. Common symptoms that indicate the need for a filling include tooth sensitivity, visible holes in teeth, dark spots, or pain while chewing.
3. Is teeth filling painful?
No, teeth filling is generally not painful. Dentists usually use local anesthesia to numb the area before removing the decay and placing the filling. Most patients experience little to no discomfort during the procedure.
4. How long does a teeth filling procedure take?
A teeth filling procedure typically takes about 20 to 60 minutes depending on the size and location of the cavity. In most cases, the treatment is completed in a single visit to the dental clinic.
5. What is the teeth filling cost in Hyderabad?
The teeth filling cost in Hyderabad usually ranges from ₹1,500 to ₹4,000 per tooth, depending on the type of filling material used, the size of the cavity, and the dental clinic. Composite fillings may cost slightly more than metal fillings due to their aesthetic appearance.
6. Where can I get teeth filling in Hyderabad?
There are many dental clinics offering teeth filling in Hyderabad, but it is important to choose a clinic with experienced dentists, advanced technology, and good patient reviews. Dr Care Dental Hospital is considered one of the top dental clinic in Hyderabad, providing quality dental treatments for patients of all ages.
7. How long do dental fillings last?
The lifespan of dental fillings depends on the material used and oral hygiene habits. Composite fillings generally last 5–7 years, while amalgam or ceramic fillings can last 10–15 years or longer with proper care.
8. What are the different types of dental fillings?
There are several types of dental fillings available, including:
-
Composite (tooth-colored) fillings
-
Amalgam (silver) fillings
-
Ceramic or porcelain fillings
-
Gold fillings
Your dentist will recommend the best option depending on your dental condition and budget.
9. Can teeth filling prevent further tooth decay?
Yes, dental fillings help stop the spread of decay by removing the infected portion of the tooth and sealing the cavity. This protects the tooth from further damage and restores its strength.
10. How can I find an affordable dental clinic in Hyderabad for teeth filling?
To find an affordable dental clinic in Hyderabad, look for clinics that offer experienced dentists, transparent pricing, and modern dental technology. Clinics like Dr Care Dental Hospital provide low cost dental treatments in Hyderabad while maintaining high standards of patient care and hygiene.
11. What precautions should I take after getting a teeth filling?
After getting a dental filling, you should avoid very hard or sticky foods for a few hours, maintain proper oral hygiene by brushing and flossing daily, and visit your dentist regularly for checkups to ensure the filling remains in good condition.
12. Can children get teeth fillings?
Yes, children can also receive dental fillings if they develop cavities in their primary or permanent teeth. Early treatment helps prevent pain, infection, and future dental complications.
Conclusion
Teeth filling is one of the most common and effective dental treatments used to restore teeth damaged by cavities or minor fractures. By removing decay and sealing the tooth with a durable material, fillings protect the tooth from further damage and restore its natural function.
Early diagnosis and treatment are crucial for preventing serious dental problems such as infections or tooth loss. With modern techniques and advanced materials, dental fillings are now painless, durable, and aesthetically pleasing.
For individuals searching for teeth filling in Hyderabad or comparing the teeth filling cost in Hyderabad, choosing a trusted clinic is essential. Clinics like
Dr Care Dental Hospital, known as an affordable dental clinic in Hyderabad,
provide expert care and low cost dental treatments in Hyderabad, ensuring that every patient receives quality dental treatment and a healthy smile.

